专业从事于生产、销售细胞培养产品干细胞及干细胞专用无血清培养基等产品的创新型科技公司
HOME
NCS细胞库
实验耗材
诊断耗材
ABW品牌产品
资料下载
普通血清
特殊血清
实验试剂
关于我们
公司简介
联系我们
联系方式
常见问题
HOME
NCS细胞库
实验耗材
诊断耗材
ABW品牌产品
资料下载
普通血清
特殊血清
实验试剂
关于我们
公司简介
联系我们
联系方式
常见问题
NCS细胞库
HOME
/
NCS细胞库
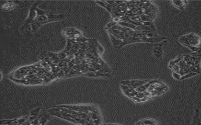
MGC-803;人胃癌细胞
VIEW MORE
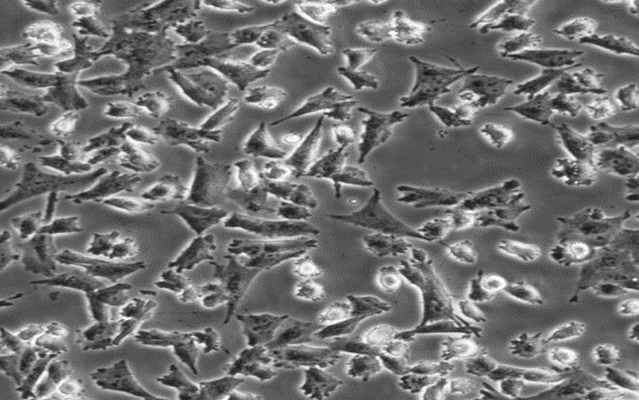
Hs746T;人胃癌细胞
VIEW MORE
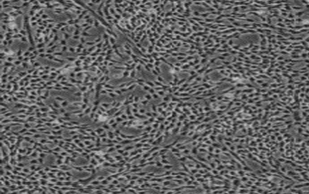
SGC7901/DDP;人胃癌顺铂耐药株
VIEW MORE
F56;人腺癌细胞
VIEW MORE
HA-VSMC;人主动脉血管平滑肌细胞
VIEW MORE
Patu8988;人胰腺癌细胞
VIEW MORE
PL45;人胰腺导管腺癌细胞
VIEW MORE
ECV304;血管内皮细胞
VIEW MORE
EAhy926;人脐静脉融合细胞
VIEW MORE
<
49
50
51
52
53
54
55
>
Sign Up
Login
Don’t havern an account?
Sign up
Member Login
Sign up
Already have an account?
Login