专业从事于生产、销售细胞培养产品干细胞及干细胞专用无血清培养基等产品的创新型科技公司
HOME
NCS细胞库
实验耗材
诊断耗材
ABW品牌产品
资料下载
普通血清
特殊血清
实验试剂
关于我们
公司简介
联系我们
联系方式
常见问题
HOME
NCS细胞库
实验耗材
诊断耗材
ABW品牌产品
资料下载
普通血清
特殊血清
实验试剂
关于我们
公司简介
联系我们
联系方式
常见问题
NCS细胞库
HOME
/
NCS细胞库
SK-BR-3;人乳腺腺癌细胞
VIEW MORE
T47D;人乳腺导管癌细胞
VIEW MORE
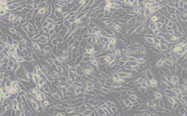
MCF/Adr;人乳腺癌阿霉素耐药细胞株
VIEW MORE
Bcap-37;人乳腺癌细胞
VIEW MORE
MDA-MB-175;人乳腺癌细胞
VIEW MORE
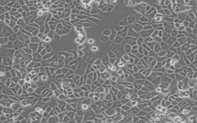
MCF-7;人乳腺癌细胞
VIEW MORE
MDA-MB-435S;人乳腺导管癌细胞
VIEW MORE
MDA-kb2;人正常乳腺细胞
VIEW MORE
MCF10A;人正常乳腺上皮细胞
VIEW MORE
<
46
47
48
49
50
51
52
>
Sign Up
Login
Don’t havern an account?
Sign up
Member Login
Sign up
Already have an account?
Login