专业从事于生产、销售细胞培养产品干细胞及干细胞专用无血清培养基等产品的创新型科技公司
HOME
NCS细胞库
实验耗材
诊断耗材
ABW品牌产品
资料下载
普通血清
特殊血清
实验试剂
关于我们
公司简介
联系我们
联系方式
常见问题
HOME
NCS细胞库
实验耗材
诊断耗材
ABW品牌产品
资料下载
普通血清
特殊血清
实验试剂
关于我们
公司简介
联系我们
联系方式
常见问题
NCS细胞库
HOME
/
NCS细胞库
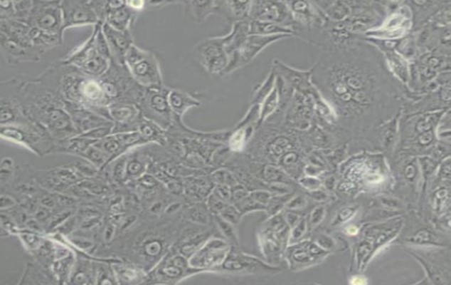
BV2;小鼠小胶质细胞
VIEW MORE
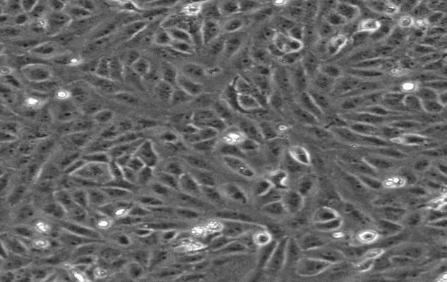
MNNG/HOS Cl #5 [R-1059-D];人骨肉瘤细胞
VIEW MORE
VERO C1008 [Vero E6];非洲绿猴肾细胞
VIEW MORE
U266;人多发性骨髓瘤细胞
VIEW MORE
A549/DDP;人肺腺癌耐顺铂株
VIEW MORE
MCF 10A;人正常乳腺上皮细胞
VIEW MORE
NK-92;人恶性非霍奇金淋巴瘤患者的自然杀伤细胞
VIEW MORE
NK-92MI;人恶性非霍奇金淋巴瘤患者的自然杀伤细胞
VIEW MORE
GES-1;人胃粘膜细胞
VIEW MORE
<
32
33
34
35
36
37
38
>
Sign Up
Login
Don’t havern an account?
Sign up
Member Login
Sign up
Already have an account?
Login