专业从事于生产、销售细胞培养产品干细胞及干细胞专用无血清培养基等产品的创新型科技公司
HOME
NCS细胞库
实验耗材
诊断耗材
ABW品牌产品
资料下载
普通血清
特殊血清
实验试剂
关于我们
公司简介
联系我们
联系方式
常见问题
HOME
NCS细胞库
实验耗材
诊断耗材
ABW品牌产品
资料下载
普通血清
特殊血清
实验试剂
关于我们
公司简介
联系我们
联系方式
常见问题
NCS细胞库
HOME
/
NCS细胞库
NAMALWA;人Burkitt's淋巴瘤细胞
VIEW MORE
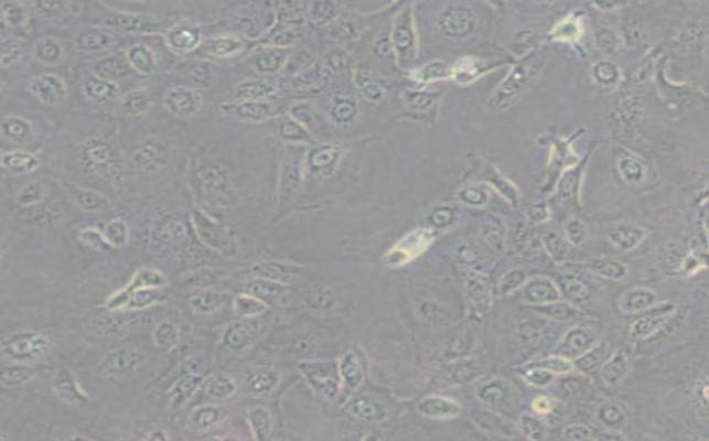
NCI-H1299;人非小细胞肺癌细胞
VIEW MORE
NCI-H1650;人非小细胞肺癌细胞
VIEW MORE
NCI-H292;人肺癌细胞(淋巴结转移)
VIEW MORE
Neuro-2a [N2a; Neuro-2a];小鼠脑神经瘤细胞
VIEW MORE
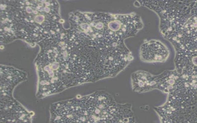
NCI-N87 [N87];人胃癌细胞
VIEW MORE
NIH/3T3;小鼠胚胎细胞
VIEW MORE
NR8383 [AgC11x3A; NR8383.1];大鼠肺泡巨噬细胞
VIEW MORE
NRK;大鼠肾细胞
VIEW MORE
<
14
15
16
17
18
19
20
>
Sign Up
Login
Don’t havern an account?
Sign up
Member Login
Sign up
Already have an account?
Login